Services

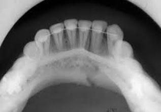
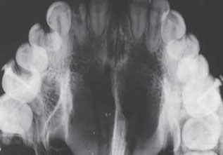
OCCLUSAL VIEW


Occlusal X-rays show the roof or floor of the mouth and are used to find extra teeth, teeth that have not yet erupted through the gums, jaw fractures, a cleft palate, cysts, abscesses or growths. Occlusal X-rays may also be used to find the position of any foreign object accidently entrapped into upper & lower jaws.

Team Image
Team Image
Team Image

Location Map