Services

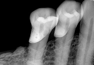
DIGITAL IOPA (INTRAORAL PERIAPICAL)


This dental procedure code, refers to a type of X-ray known as periapical. This term is used because these X-rays capture the entire tooth all the way down to the tissues at the tip of the tooth root – an area referred to as the periapical area.

A periapical X-ray will show one or two teeth in their entirety in one single image, right from the crown of the tooth which is the part exposed in the mouth to the very tips of the tooth roots located in the jawbone, as well as the surrounding bone supporting this tooth.

Team Image
Team Image
Team Image

Location Map